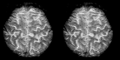
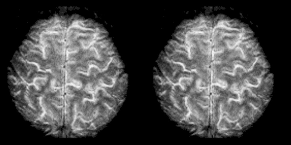
MAKE A MEME View Large Image High Resolution FMRI of the Human Brain.gif High Resolution FMRI of the Human Brain 1 mm cubical voxels at 3 Tesla The following images show the results from two functional MRI experiments The first with voxel dimensions 1x1x10 mm 3 and 1 ...
View Original:High_Resolution_FMRI_of_the_Human_Brain.gif (512x256)
Download: Original    Medium    Small Thumb
Courtesy of:commons.wikimedia.org More Like This
Keywords: High Resolution FMRI of the Human Brain.gif High Resolution FMRI of the Human Brain 1 mm cubical voxels at 3 Tesla The following images show the results from two functional MRI experiments The first with voxel dimensions 1x1x10 mm 3 and 1 slice; The second with voxel dimensions 1x1x1 mm 3 and 10 slices Both experiments used FOV 128 mm image matrix 128x128 and TR 2 s The background images are the 10 slices gathered in the first EPI shot of the high resolution experiment With this contrast CSF is the brightest gray matter next and white matter slightly darker than gray matter The task alternation is 40 s rest and 40 s bilateral finger tapping for a total of 150 acquisitions 300 s The function is calculated from all slices and rendered into 3D using AFNI Left 1x1x10 mm 3 data Right 1x1x1 mm 3 data At the start of the animation the 10 mm thick slab is viewed from above The color overlay that then appears represents the functional activation with red indicating signal changes under 15 and yellow signal changes over 20 The background images are rendered as partly transparent so that the color overlay can shine through As the animation progresses the viewpoint swings around to the side showing the function from different angles The background image then fades out completely and the activated volumes are left hanging in space while the viewpoint swings back to the original top-down orientation On the left the activated regions are crudely shaped along the inferior-superior axis due to the low spatial resolution in that direction The color shows that the estimated signal change due to activation is smaller in the low resolution dataset This is probably due to partial-volume effects not all of the volume of a 1x1x10 mm 3 voxel will be filled with activated tissue Since the signal from a voxel is averaged over its entire contents if only a small portion of the voxel has a large signal change the net measured result is a small signal change With smaller voxels the regions that are not active will be pruned away and the observed signal changes will be larger A confounding problem occurs at high resolution when the activation is over a large region In MRI the intrinsic signal-to-noise ratio SNR declines as the voxel size shrinks For a fixed number of image acquisitions and for a fixed statistical threshold lower SNR means that only larger signal changes can be detected This effect can be overcome by acquiring more images This effect is also partly mitigated by the fact that much of the interfering noise in the detection of FMRI signal changes is not truly MRI noise but is physiological in origin This type of noise will decline as the voxel size shrinks http //afni nimh nih gov/afni/about/images/1mm html National Institute of Mental Health PD-USGov Functional magnetic resonance imaging Animated GIF Animations on black background Magnetic resonance imaging of the brain Signal-to-noise ratio
Terms of Use   Search of the Day